
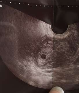
写真:5w3d:mamyyyさん
生理が遅れて3日でドゥーテスト陽性、最終生理からの計算で5週3日の今日、初受診で胎嚢と赤ちゃん、心拍まで確認できました!
赤ちゃんは4.5ミリだと言われました!待望の2人目、どうか無事成長してくれますように...
双子の胎嚢が見えました。卵黄嚢も見えたけど胎芽はまだまだかな?という感じです。サイズは10.7mmと14.7mmです。
サイズは9.5mm
胎嚢の中に小さな卵黄囊も見えました!次は1週間後に心拍確認です♪
顕微受精からのはじめての陽性判定頂いて、本日胎嚢確認できました。先生からは特別なにも言われずまた1週間後に心拍確認しましょ〜と言われましたが、今回胎芽?など見えず少し不安です。が!赤ちゃんを信じて待ちます*
第三子です! 最終生理から数えると5w3d前後です。 まだ心拍が確認出来ず、2週間後にまた来てねと言われました。 上2人は初回で心拍確認出来たので今回ピコピコが見えなかったのが少し不安ですが、2週間後には随分大きくなってると思うよ〜!とのことで!何度経験しても楽しみで仕方ないな〜! 悪阻は車酔い程度です
28日周期でくる生理が1週間以上来なかったので、市販の検査薬で調べたところ、陽性の線がビタッとくっきり(笑) その日のうちに産婦人科で検査すると、順調ですとのこと(*^^*) 胎嚢15.7mmでした! 最終生理日から計算すると、5週3日目です。 5週目の標準的な大きさです、と先生には言われました。 心拍は次回! 初めての妊娠なので、少し不安です… でも、一人じゃないから、なるべく穏やかに、気にしすぎず頑張ります!
5w5dだと思っていたが、先生いわく5w始まったばかりかな?だそう。 月経周期が30日なので多少は誤差がありそうだけど、ちゃんと大きくなってね!と不安です。 2週間後に心拍確認です。 無事心拍確認できますように。
最終生理日より5w3d。 前日に腹痛と出血があり、心配で早いですが受診。出血は胎嚢が少し剥がれかけてるのと、左側の丸は水らしく、右側の胎嚢がプカプカ浮いてる状態で、あまりよろしくないらしい。次は1週間後、成長していれば処置するが、してなきゃカキダシ…不安ですが頑張ります!
産後4ヶ月で2人目年子の妊娠判明♡ エコーでは5w3dで胎嚢17.6mm 胎芽と卵黄のう、小さなしっかりとした心拍まで確認出来ました! 元気に育ってね~!
1年前に枯死卵で稽留流産してるので不安でしかないけど次こそ赤ちゃんの姿と心拍確認できますように。
6年の不妊治療を乗り越えて妊娠しました!いい病院にも中々巡り会えず。20歳の時に多嚢胞と診断され、生理も薬に頼らないとダメな状態でした。不妊治療を続けながら、本当に自分は妊娠できる身体なのかと攻め続けながら、、、3回目の体外受精で妊娠しました!エコーでも、無事子宮に居てくれて。妊娠出来ないと思ってた私がしたんです!不妊治療で悩まれてる方も諦めないで下さいね!2週間後の心拍確認まで、不安ですが穏やかに過ごします!胎嚢1cm♡
妊活歴1年で、何度も流産しました。 ミリ数は不明。4週後半から5週前半くらいの大きさだと言われました。 鮮血も時々出るので、これからどうなるか分からないですが、またお腹に帰ってきてくれたこの子を大事にしていきたいです
先々月から不妊治療に通っていました。フーナーテストでまさかの妊娠でした。 15mmで、心拍確認はまだできなかったため来週もう一度受診です。 ちゃんと子宮内にいてくれてよかった。
38歳、初めての妊娠で自然妊娠です。 胎嚢は18mmといまは育っていますが医師からも高齢なので居なくなってしまうことも視野に入れて、と言われています(^^ゞ 結果かがどうであれ、命を授かったことに感謝して大きく構えていこうと思ってます。6日後に検診です、心音聴こえるといいな☆
生理周期が28日であれば、6週4日ですが、 胎嚢の大きさからエコー写真に5週3日と計算されてますね。 前回8週で心拍確認後に流産しているので、とても不安ですが… 胎嚢は18mmで、赤ちゃんはまだ1cmないくらいと言われました。 とりあえず、来週心拍確認できればいいなぁ…
無事に子宮にいてくれて本当に嬉しかったです。 「まだ、小さいから心拍は来週かなぁ」と言われて、また来週にエコーになります。 GS5.7ミリで、「4~5週だね」と言われたので少し私が計算していた週数とズレてたみたいですが、お医者さんに「おめでとう!」と言われた気持ちを信じてまた1週間、過ごします(^ー^)
ピンクのおりものがあり、心配で1日前倒しで診察してもらったら見えました! 卵黄嚢も見えます。 おそらくピンクのおりものは膣座薬によって傷ついたのでは?とのことですが、心配です。 でもちゃんと大きくなっていってるわが子を信じます! 大きさはまだ測ってもらえませんでしたが、目盛りと照らし合わせると10mmちょっとかな?というところです(^o^)
7.2mmでした。 胎嚢確定しました。 冷え性、低体重、不眠症だったのですぐに無理だろうなぁ、と思ってました。 まず基礎体温を計って、それを見たパパがタイミング合わせてくれて、妊活2周期で出来ました。 でも、体温が上がったり、眠くなったりしたのでおかしいなぁ、と思って検査薬したらすぐ陽性が出ました。 嬉しいより、びっくりのが大きかったです。 まだ自覚はありませんが、小さな命大切に育てていきます。
5w3dです! 胎嚢17.5mm胎芽が見えました! 胎芽もピコピコ動いてましたが まだ動きが微妙やから二週間後ねって言われました。22日までドキドキです。 無事に心拍確認出来ますように。
3/14受診。5年前に中絶手術をしており内膜が5.5mm程しかなくホルモン値も少なく過少月経...自然妊娠は難しいだろうと不妊専門病院で体外にステップアップしようとしていた矢先、2/4の最終生理日からD39生理が来なく数日前にも妊娠検査薬をして陰性だった為、ついに生理が止まってしまったのではと思い受診したら、「あれ、赤ちゃんの袋あるね...!」と先生が。約5mm。花粉症の薬ザイザルを飲んでたので今日からやめて下さいと言われ辛い毎日を過ごしてますが、19日に心音検査があるのでベビと共に頑張ります!
人口受精2回目で授かりました。 4w6dに行ったときは胎嚢が6mm程度でもちろん中には何も映っておらず鮮明に見えなかったため。先生からまた4日後来て欲しいと言われ5w3dに見てもらったところ、大きくなった胎嚢と卵黄嚢が確認できました!サイズは測ってもらえませんでしたが、他の方のエコーを見て比較した感じだと10mmくらいかと思います。来週6w4dに心拍の確認です。 不妊治療専門の病院だからか、まだ支払いは保険が利いています(それでも一般の産婦人科よりも通常料金は高いですが…)
去年8月に初妊娠。初診で胎嚢が小さいと言われ、数日後出血の9月に稽留流産でした。それから約1年後!2回目の妊娠です! 自分の計算では6w半ばくらいかなと思っていましたが5wくらいのようです。また小さいのかな?不安。胎嚢、卵黄嚢が確認できました!先生からは生理の周期は28日より長い?と聞かれ確かに28日よりも長めなのでズレてるのかな?胎嚢の大きさは11㎜ちょいです。心拍確認出来るかなと思って行ったので確認出来ず残念ですが、また来週行きます!はやく心拍確認したい!流産はもう嫌だ!頑張ろうね(*^_^*)頑張ろうね(*^_^*)穏やかに過ごしたいと思います!
二人目希望から3年半、 通院して11周期目に タイミング法と排卵検査薬使用で 妊娠しました。 高温期15日目で妊娠検査薬陽性、 高温期23日目の5w3dで受診しました。 胎嚢5.6㎜、2週間後に 心拍確認予定です!
胎のう10.6mmでした。大きさから行くと4w1dだから排卵が遅れたのかな?とのこと。前回稽留流産してるのでドキドキです…!
排卵誘発でもなかなか育たない重度の排卵障害でしたがタイミング法で妊娠!同じサイズの卵が2つ排卵し、なんと、二卵性の双子でした(゜o゜;;★前回9週で稽留流産してるので一日一日長いですが、この子達を信じます^^
←こんな基礎体温表を簡単に作成。面倒な登録なし。オートセーブ機能付き
妊娠中ののつわり
実に妊婦さんの8割程度の人が体験する「つわり」について
エコー写真
あなたのエコー写真と比べてみては...
e-妊娠 データ館
e-妊娠で行ったアンケートのデータ公開...
よくある質問
妊娠中の不安と心配を解決する気掛かりQ&A...
妊娠超初期症状
メッセージなど参考になることがいっぱい...
妊娠中のたばこ
たばこが母体や胎児に及ぼす影響は?受動喫煙をふせぐコツ
授乳の方法
赤ちゃんだって最初はおっぱいを飲むことがヘタクソ
10代のための妊娠講座
知識がないための不安。「妊娠している可能性は・・?」
































